|
67岁的患者王某患上肝癌,因为血小板太低,手术中出血风险很高,各种外科手术都没法进行。最后医生们给他做了微创介入治疗,断绝了肿瘤的养分供应。一个月后,大爷的肝癌病灶被“饿”死了…… 患者家住济宁市,身体一直很好,然而,前段时,在健康体检中却查出患上肝癌,全家人立刻去当地一家大医院肝胆外科求诊,肝胆外科医生随即对大爷的情况进行了全面深入的检查。 检查发现,患者肝部的肿瘤还不算特别大,直径约4厘米大小,也没有发现扩散转移迹象,应该说还是非常幸运。 当务之急就是要马上通过手术切除病灶,这无疑是当时最佳的选择。患者一家当即就向医生们提出了尽快手术切除病灶的要求。但令人无奈的是,检查中医生们发现了一个非常关键的情况——患者的血小板数值非常低,连正常人的三分之一都不到 。这意味着大爷什么都不做都可能出现自发性出血,如果做外科手术的话,那大出血几乎是必然的,甚至连微创的腔镜手术和肝癌微波消融手术都无法避免这样的风险。 但短时间内,患者的血小板没办法恢复到正常范围,手术没法做。而癌组织又要尽快处理,拖得越久,癌症扩散的风险就越大,这让患者全家都傻了眼,不知如何是好。 正当患者一家一筹莫展的时候,经熟人介绍来到济宁市中医院介入科咨询,经科室讨论讨论后,提出了一个可以避免血小板过低导致出血的新方法——介入治疗。 该院介入科主任尹建怀介绍,癌组织和正常组织一样,都需要养分供养才会生长。癌组织抢夺养分的能力比人体正常组织强很多,所以生长速度很快。如果常规外科手术的目的是直接切除肿瘤,肝癌介入手术的目的则是给肝癌“断供”,让癌组织得不到养分补充,最后自己死掉。 尹建怀说,肝癌的养分供应主要来自周边组织的血液供应,只要把供应肝癌病灶的血管“堵”上,医学专业术语叫栓塞,肝癌组织就没法像以前那样肆无忌惮吸收养分继续生长,治疗的目的也就达到了。而且更重要的是这种治疗方式的创伤比腹腔镜等其他微创手术更小,创伤小,可以很好地避免患者血小板低造成的手术出血的风险。通过导管注入栓塞剂,把肝癌病灶里里外外的血管都给“堵”上。通俗的讲,就是肝癌组织的养分供应通道被切断了,得不到养分支持,时间一长,病灶就失去活性而无法生存。 听了尹建怀的介绍,患者一家毫不犹豫决定接受介入治疗,手术十分顺利,1个多小时就结束了。术中患者全程清醒,没有痛苦,医生们一直和患者沟通聊天。 术后第2天,患者的饮食完全恢复正常。术后第5天病情好转出院。 在随后的定期复查中,患者的指标不断变好。1个月后,患者各项检查指标全部恢复正常。“肿瘤已经失去活性了!”尹建怀主任告诉患者一家,在后续的检查中,患者的病灶没有任何复发的迹象,肿瘤慢慢变小。 
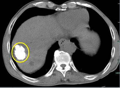
手术中,大爷的肿瘤病灶内外的血管都已经被栓塞剂堵上(黄圈内白色部分)
尹建怀主任表示,癌症现在都强调综合治疗,医生们会采用各种适合患者的治疗方式,尽可能提升治疗效果 。肝癌的介入治疗是非常成熟的治疗方式之一 ,在国内外得到广泛应用。因为创伤小,恢复快,肝癌介入治疗特别适合像王大爷这种外科手术没法做的肝癌患者。
|